
Для этой патологии характерно разрушение голеностопных суставов и суставов стоп.
Болезнь появляется у тех пациентов, которые страдают диабетом больше 10 лет.
Что такое остеоартропатия?
Сустав Шарко, диабетическая стопа, ОАП – это другие названия диабетической остеоартропатии. Для патологии характерно поражения сустава голеностопа и стопы, проблемное заживление ран мягких тканей. Происходит рассасывание костной ткани, разрастание вертикального слоя кости. Таким образом, сустав подвержен частым переломам.
Наблюдается процесс нейропатии, при котором пациент, страдающий сахарным диабетом, может не заметить, как на ногах появляются ранки.
Инфекция, проникая в организм, ослабленный диабетом, прогрессирует, усложняет патологию опорно–двигательной системы. Это односторонний процесс, предвидеть который практически невозможно. Любая травма стопы может спровоцировать развитие патологии.
Чаще всего им страдают женщины. Сустав Шарко образовывается на одной либо на обеих ногах.
Врачи отмечают, что стопа Шарко является серьезным осложнением диабета, которое требует внимательного подхода к диагностике и лечению. Это состояние характеризуется разрушением костей и суставов стопы, что может привести к деформации и потере функции конечности. Специалисты подчеркивают важность раннего выявления симптомов, таких как отек, покраснение и изменение формы стопы. Лечение включает в себя как консервативные методы, такие как использование ортопедической обуви и физиотерапия, так и хирургическое вмешательство в более запущенных случаях. Врачи также рекомендуют регулярные осмотры у специалиста для предотвращения осложнений и сохранения качества жизни пациентов. Правильный уход за стопами и контроль уровня сахара в крови играют ключевую роль в управлении этим заболеванием.

Причины отеков
На изменения чувствительности в ногах могут влиять разные факторы:
- вредные привычки,
- нейропатия (бесчувственность к боли, холод), что развивается по причине сахарного диабета,
- заболевания периферийных сосудов.
Не правильно подобранная, тесная обувь может оказывать влияние на развитие патологии стопы.
Симптоматика
При визуальном осмотре нижних конечностей обнаруживаются проявления патологии.
Сустав Шарко при сахарном диабете имеет следующие признаки:
- чувство дискомфорта в стопах,
- отечность ног,
- многократные травмы стоп (вывихи, переломы, растяжки),
- покраснения стоп,
- повышение температуры в пораженной области нижних конечностей,
- деформация пальцев,
- наросты на подошвах,
- грибковые поражения ногтей,
- проблема врастания ногтей,
- онемение конечностей,
- сильная боль,
- образование долго не заживляющих ран,
- проблемное передвижение.
В некоторых случаях, пациент может не ощущать боль и не обращать на развитие патологии внимания. Потому важно родным проявлять внимание, так как от этого зависит качество жизни пациентов страдающих диабетом.
Стопа Шарко — это серьезное осложнение диабета, которое вызывает деформацию суставов и костей стопы. Многие пациенты отмечают, что это состояние значительно ухудшает качество жизни. Важно понимать, что ранняя диагностика и лечение могут предотвратить дальнейшие осложнения. Люди делятся своим опытом, рассказывая о необходимости регулярных осмотров у врача и соблюдения рекомендаций по уходу за ногами. В некоторых случаях требуется использование ортопедической обуви или специальных стелек для снижения нагрузки на пораженные участки. Также активно обсуждаются методы физиотерапии и реабилитации, которые помогают восстановить функции стопы. Фото сустава в разных стадиях заболевания демонстрируют, как важно не игнорировать симптомы и обращаться за помощью при первых признаках. Забота о здоровье ног — это ключевой аспект в управлении диабетом.

Диагностика
В первую очередь для обследования важен визуальный осмотр доктором нижней части ноги. Так как отеки сигнализируют о наличии сердечной недостаточности и лимфостаза, важно провести тщательное обследование.
Дальнейшее обследование включает:
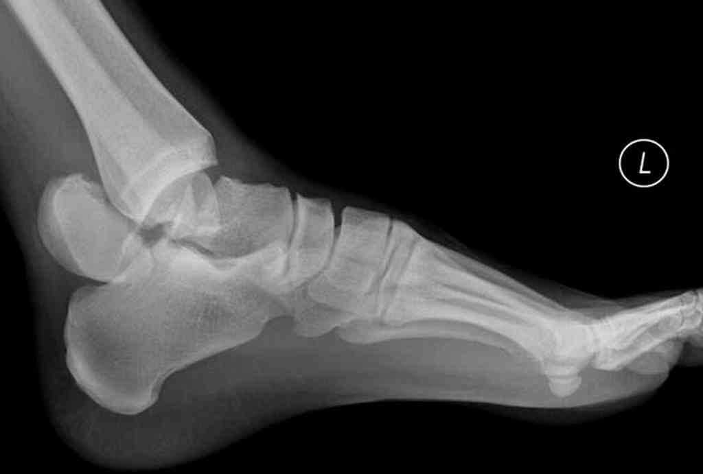
- МРТ либо рентгенография ступни, что позволяет увидеть наличие поражения кости (делают рентген в 2 проекциях – боковой, прямой),
- проверка чувствительности к температурным изменениям, вибрации, прикосновению, проверяется коленные рефлексы для того, чтобы определить тяжесть патологии,
- если есть язвы, то делают бактериологический анализ, что позволяет затем подобрать правильный антибиотик,
- УЗИ сосудов и ультразвуковая допплерография (оценивается кровоток),
проводят транскутанную оксиметрию (измерение парциального давления кислорода в тканях ног),
- анализ крови на уровень СОЭ, лейкоцитов,
- биопсия костной ткани.
На начальной стадии для постановки правильного диагноза может потребоваться время от 2 недель до нескольких месяцев.
Классификация
Патология имеет 4 стадии развития. Различают острую и хроническую форму. Хроническая форма характеризуется неправильным срастанием поврежденных костей и усилением деформации с внезапным ограничением подвижности.

1 стадия
На начальном этапе болезни человек не испытывает боли.
Все процессы происходят на микроскопическом уровне, потому трудно диагностировать патологию. Стопа обретает плоскоовальную форму. На развитие начальной стадии может пройти от 6-12 месяцев.
2 стадия
Второй этап характеризуется уплощением сводов, деформацией стопы. Во время рентгенограммы хорошо просматриваются костные фрагменты.
3 стадия
Деформация костей стопы достаточно хорошо видна. При осмотре врач может поставить диагноз без дополнительного обследования.
При помощи рентгенографии можно увидеть сильные изменения формы стопы. Существует риск внезапных переломов, вывихов. Пальцы имеют клювовидную форму. Стопа Шарко при сахарном диабете на данной стадии еще поддается лечению.
4 стадия
Для 4 стадии характерно образование незаживающих ран. Это в свою очередь приводит к тому, что попадает инфекция и появляются флегмоны и развивается гангрена. На этой стадии существует угроза ампутации ноги, вплоть до потери жизни.
Лечение
Терапия полностью зависит от стадии болезни. Чтобы добиться нужного результата в лечении стопы Шарко, важно провести тщательную диагностику.
В зависимости от наличия вывихов, микроскопических переломов, разрушения сустава приписывается курс препаратов и терапевтических процедур. Важно проводить комплексное лечение. Для снятия воспалительного процесса, восстановления кровообращения полезно заниматься лечебной физкультурой.
Ортопедическая коррекция
В некоторых случаях для предотвращения деформации накладывают полноконтактный гипс. При снижении отека ноги, его необходимо менять каждые 4-7 дней. Затем, когда оттек полностью пройдет его меняют каждые 2-4 недели. Носить гипс нужно до 12 месяцев.
После снятия гипса, важно использовать ортопедическую обувь и стельки либо использование полужесткого ортеза, что позволяет стабилизировать голеностопный сустав.
Если стопа сильно деформировалась иногда целесообразно хирургическое вмешательство. Но такой метод не дает 100% гарантию, так как может произойти рецидив.
Препараты
Для медикаментозного лечения диабетической стопы используют разные группы препаратов.
Врач может назначить:
- диуретики, противовоспалительные, которые позволяют уменьшить отечность ног,
- Кальцитонин либо Биосфонат, которые вводятся подкожно либо внутримышечно для остановки разрушения костей,
- анаболические стероиды используют для улучшения нервно – мышечной проводимости и тонуса мускулатуры, стимуляции усвоения кальция.
Самостоятельно обрабатывать язвы можно только перекисью водорода и хлоргекисдином. Не стоит пользоваться йодом и зеленкой, так как они пересушивают кожу.
Народные рецепты
На первой стадии применяют разные ванночки, примочки.
Некоторые пациенты отмечают эффективность таких рецептов:
- На пораженный участок кожи накладывают пропитанный кефиром кусок хлопчатобумажной ткани.
- Можно приготовить настой (20 гр. листьев розмарина, 40 гр. цветков ромашки, семена горчицы, 500 гр. воды). Натаивают на протяжении суток, затем пропитывают шерстяные носки и одевают на пораженные ноги.
- 50 гр. эвкалипта заливают 1 ст. кипятка и кипятят 15 минут. Затем, когда остынет, добавляют 2 ст. л. меда. Данное средство используют для примочек и ванночек.
Особенно важно пользоваться примочками при появлении ран на кожи.
Диета
Для успешного лечения патологии важно придерживаться правильного питания, при помощи которого контролируется уровень сахара в крови. В зависимости от типа диабета врач приписывает диету.
Осложнения
Стопа Шарко при сахарном хронической формы может иметь разный последствия.
Стопа обретает бобовидную форму, а язва может образоваться в средней части, что значительно ухудшает процесс передвижения.
Через язву может проникать инфекция, в результате чего происходит гангрена. Таким пациентам грозит ампутация ног.
Профилактика и рекомендации
Во время сахарного диабета важно при малейших изменениях чувствительности ног, а также других изменений (вросшие ногти, мозоли, потертости, припухлость стоп), обращаться на консультацию в медицинское учреждение. Необходимо пользоваться ортопедическими стельками, укреплять иммунитет, заниматься лечебной физкультурой. Используя все профилактические меры можно избежать развития патологии стопы Шарко при сахарном диабете.
Во время ношения обуви могут появляться образования, наполнены жидкостью. Чтобы не занести инфекции, их обрабатывать должен врач. Также важно осторожно относится к процессу обрезания ногтей на ногах. Важно пользоваться пилочкой. Чтобы уменьшить травматизм ног, важно избегать экстремальных видов спорта.
Эффективность лечения полностью зависит от стадии и точного соблюдения предписаний врача. Важно помнить, стоит избегать самолечения, так как от неграмотного лечения зависит жизнь.
Вопрос-ответ
Можно ли остановить прогрессирование диабетической стопы?
Тем не менее, прогрессирование синдрома диабетической стопы даже при правильном лечении далеко не всегда можно остановить. До сих пор развитие гнойно-некротического процесса на фоне диабетической стопы более чем в 50-75% случаев приводит к ампутациям.
Как лечить стопы при диабете?
При синдроме диабетической стопы с этими целями применяются: препараты никотиновой кислоты, гепарина, эуфиллина, магния, йода, лития и др. Нередко используется также фонофорез — введение лекарственных препаратов при помощи ультразвука (ксантинола никотинат).
Что такое сустав Шарко?
Общие сведения. Диабетическая остеоартропатия (стопа или сустав Шарко) – тяжелое заболевание костно-суставной системы, которое развивается на фоне длительного течения сахарного диабета.
Какой мазью мазать синдром диабетической стопы?
Это Левомеколь, Офломелид, Бетадин. Они оказывают выраженное антимикробное действие. Использовать мази нужно с осторожностью, так как после уменьшения степени экссудации они могут оказывать цитотоксическое и пересушивающее действие.
Советы
СОВЕТ №1
Регулярно проверяйте состояние своих ног. При диабете важно ежедневно осматривать стопы на наличие трещин, язв или изменений в форме. Это поможет выявить проблемы на ранней стадии и предотвратить осложнения.
СОВЕТ №2
Обратитесь к специалисту при первых симптомах. Если вы заметили отеки, покраснение или боль в области стопы, немедленно проконсультируйтесь с врачом. Раннее вмешательство может значительно улучшить прогноз и предотвратить серьезные последствия.
СОВЕТ №3
Подбирайте правильную обувь. Носите удобную обувь с хорошей поддержкой, чтобы избежать травм и давления на стопы. Избегайте узкой или жесткой обуви, которая может усугубить состояние.
СОВЕТ №4
Следите за уровнем сахара в крови. Контроль уровня глюкозы в крови поможет предотвратить осложнения, связанные с диабетом, включая проблемы со стопами. Регулярно проверяйте уровень сахара и следуйте рекомендациям врача по лечению.







