
Диабетическая стопа (или синдром диабетической стопы) согласно классификации код по МКБ 10: Е 10.5, Е11.5 бывает трех форм:
- нейропатической: с преобладанием нарушения иннервации,
- ишемической: с нарушениями со стороны русла микрососудов,
- нейро-ишемической: с сочетанием признаков первых двух форм.
Состояние стоп становится патологическим при сахарном диабете, поскольку поражаются периферические нервы, сосуды, кожа, мягкие ткани, кости и суставы. Появляются при этом острые и хронические язвы, развиваются костно-суставные и гнойно-некротические процессы.
Этиология
В группу риска развития диабетической стопы входят люди с наличием:
- периферической нейропатии: сенсорной, моторной и автономной,
- периферической ангиопатии: макроангиопатии или микроангиопатии,
- деформации стоп при использовании неподходящей обуви и увеличении давления на подошвы.
Вышеуказанные патологии могут появляться в связи со следующими факторами риска:
- неадекватным уходом за стопами,
- инфекционными и грибковыми поражениями стоп,
- избыточной массой тела,
- курением и употреблением алкоголя,
- тяжелой ретинопатией и нарушением зрения,
- диабетической нефропатией,
- длительным сахарным диабетом,
- ростом глюкозы в крови,
- плохо корригируемой гипергликемией,
- артериальной гипертензией и гиперхолестеринемией,
- спортивными соревнованиями,
- предшествующими язвами и ампутацией стопы или части конечности,
- возрастом от 60 лет и старше.
Врачи подчеркивают, что диабетическая стопа является серьезным осложнением сахарного диабета, возникающим в результате нарушения кровообращения и повреждения нервов. Основные причины включают длительное повышение уровня сахара в крови, что приводит к ухудшению состояния сосудов и нервных окончаний. Признаки заболевания могут варьироваться от покраснения и отечности до образования язв и гнойных инфекций. Важно, чтобы пациенты обращали внимание на любые изменения в состоянии стоп, так как ранняя диагностика может предотвратить серьезные последствия. Лечение включает контроль уровня сахара, регулярный осмотр стоп, а также применение медикаментов и в некоторых случаях хирургическое вмешательство. Врачи настоятельно рекомендуют пациентам с диабетом соблюдать профилактические меры, такие как правильный уход за ногами и регулярные визиты к специалистам.

Стадии диабетической стопы
 
Согласно классификации Вагнера, синдром диабетической стопы различают по стадиям:
- 0 – деформируется стопа и начинает развиваться патология, что заметно по гиперкератозу, мозолям,
- I – в пределах кожи появляются язвочки, без поражения других тканей,
- II – язва становится глубже, разрушительный процесс распространяется на ткани кожи, клетчатки, мышц и сухожилий, кости не затрагиваются,
- III – язвы достигают костей и деформируют их,
- IV – появляется гангрена на ограниченном участке, кожа и подкожная клетчатка становятся черными,
- V – гангрена становится обширной и захватывает голеностоп, голень и всю ногу.
Как выглядит стопа на I – V стадии видно ниже на фото.
 




Симптоматика
Признаки диабетической стопы при сахарном диабете даны в таблице, они зависят от особенностей форм и стадий патологии, как видно выше на фото.
Таблица 1: Симптоматика и клиника диабетической стопы:
| Клиническая форма | Клинические варианты | Симптоматика | 
| Нейропатическая: поражается соматическая и вегетативная нервная система. Стадии: 
 Артериальный кровоток ног, пульсация и цвет кожи достаточно сохранены. | Клиника проявляется: 
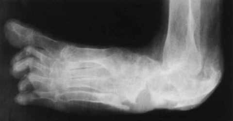
 | Признаки диабетической стопы проявляются при снижении чувствительности стопы, повышении болевого порога, изменении формы, деформации, утолщении кожи и появлении мозолей (чаще на головках II-III метатарзальных костей) и сопровождаются гиперкератозом и сухостью кожи, незначительными болями или без них. Стопа Шарко или периферическая нейропатия провоцирует развитие остеоартропатии – синдромокомплекса с асептической костной деструкцией суставов и костей, что можно увидеть на рентгенограмме. При этом страдают голеностоп, плюсна и предплюсна: 
 | 
| Ишемическая: поражаются сосуды. | Сочетаются диабетическая макроангиопатия ног, микроангиопатия и нейропатия. | Симптомы проявляются: 
 | 
| Смешанная: сочетаются нейропатическая и нейроишемиче ская формы | Сочетается симптоматика нейропатической и нейроишемической формы диабетической стопы. Стопа изменяется в зависимости от стадии патологического процесса: 
 | 
Диабетическая стопа (начальная стадия) не причиняет болей и страданий. Поскольку отсутствуют болевые импульсы в связи с гибелью нервных окончаний.
Только позднее отекает и краснеет стопа, появляется холод в пальцах, на подошве и в голеностопе, иголочки и мурашки в мышечных тканях. Люди быстро утомляются от ходьбы, страдают от судорог в икрах. Костные деформации и диабетическая язва стопы мешают подобрать соответствующую обувь.
Диабетическая стопа — это серьезное осложнение сахарного диабета, которое возникает из-за повреждения нервов и сосудов. Люди, страдающие этим заболеванием, часто отмечают, что первые признаки проявляются в виде онемения, жжения или болей в ногах. На более поздних стадиях могут возникать язвы и инфекции, что требует незамедлительного медицинского вмешательства. Причинами диабетической стопы являются плохая циркуляция крови и нарушение чувствительности, что приводит к травмам, которые пациенты не замечают. Лечение включает в себя контроль уровня сахара в крови, регулярные осмотры у врача, а также уход за ногами. Важно помнить, что профилактика играет ключевую роль: правильная обувь, гигиена и своевременное обращение к специалистам могут значительно снизить риск развития осложнений.

Формирование язвы
Мягкие ткани стопы: подошвы, промежутки между пальцами, место между пяточными костями и полом покрываются нейропатическими дефектами. Происходит постепенная деформация стопы и разрастание рогового слоя.
При гиперкератозе и утолщении кожи нижние слои давят на ткани, лежащие выше, а кости давят на них сверху. А это приводит к аутоклизу и уничтожению гидролитическими ферментами при диабете собственных клеток, т.е. к формированию язвы: поверхностной и глубокой, трофической. При этом идет поражение подкожной жировой клетчатки, сухожилий, суставной и костной структуры.
Посредством мелких трещинок и ранок идет заселение в ткани патогенных микроорганизмов: золотистых стафилококков, стрептококков, грибов, спирохет и прочих анаэробных организмов. Трофические язвы и дефектная кожа – идеальная микрофлора для них, поэтому, вначале развивается поверхностная гангрена, затем подкожная, в клетчатке, мышечных волокнах, связках и костях.
В результате тромбоза мельчайших сосудов патологией охватываются здоровые ткани, инфицируются трофические язвы и нижележащие ткани, происходит газовыделение.
Важно знать. При наличии любой формы диабетической стопы требуется отслеживание состояния кожи и уход за ней, чтобы не допустить гангрены. Она приводит к инвалидности: ампутации ног и летальному исходу. Необходимо исключать химические и солнечные ожоги, не применять крема с наличием салициловой кислоты и кератолитическую мазь. Не допускается хождение в жесткой и тесной обуви, а также босиком по грунту, песку или траве.
Атеросклероз – причина диабетической язвы
 
Сахарный диабет приводит к атеросклерозу средних и мелких сосудов: диффузному изменению, при котором нарушается ток крови в их русле и магистральных сегментах.
В этом случае синдром диабетической стопы приобретает ишемическую форму и проявляется:
- интенсивными болями, особенно ночью,
- приобретением кожи неестественного бледного или синюшно-розовато-красноватого цвета,
- акральными некрозами на краях пяток или фалангах пальцев, переходящими в язвы,
- диабетической гангреной при проникновении инфекции.
Отеки и стопа Шарко
 

Нейропатические отеки: накапливание жидкости в голеностопах возникают за счет патологий почек или сердечнососудистой недостаточности.
До конца нейропатическую пастозность медики еще не изучили, но предполагается, что накоплению жидкости способствуют:
- частые расстройства тканей вегетативной нервной системы,
- шунты в артериях и венах, что образуются при диабете,
- гидродинамика (давление), что постоянно изменяется в мелких и средних сосудах.
Длительный деструктивный остеопороз, остеолиз, гиперостоз приводит к синдрому диабетической стопы: деформации костей, суставу Шарко. Тогда стопа будет напоминать мешок с косточками. Понадобятся срочное лечение и ортопедическая обувь.
Диагностика
 
Диагностика диабетической стопы проводится на основании исследований:
- УЗИ кровотока доплеровским методом,
- ангиографии сосудов,
- рентгенографии,
- анализа крови: общего и после бакпосева,
- содержания язв,
- гликемического профиля (суточного уровня сахара в крови),
- неврологического состояния,
- пальпации.
Лечение
Эндокринологическое отделение диабетической стопы осуществляет лечение диабетической нейропатии по следующим принципам:
- достигается компенсация сахарного диабета,
- проводятся методы физиотерапии и метаболическая терапия,
- улучшается проводимость нервных путей введением Прозерина,
- схемы лечения дополняются антиагрегантами для исключения тромбообразования и ангиопротекторами для поддержания сердечно-сосудистой системы: уменьшения проницаемости сосудов, нормализации метаболических процессов в сосудистых стенках и улучшения микроциркуляции.
В условиях больницы диабетическую стопу лечат согласно следующим принципам:
- компенсируют сахарный диабет и метаболические расстройства,
- проводят терапию антиагрегантами, ангиопротекторами, Никотиновой кислотой,
- устраняют нейро- и ангиопатии,
- назначают антиинфекционную терапию и деинтоксикацию – комплекс процедур для выведения токсических веществ: энтеросорбцию, плазмаферез, гемосорбцию,
- категорически запрещают больным курить,
- при развитии гангрены проводят длительную и интенсивную антибиотикотерапию, при ишемической форме – экономную резекцию, ежедневно – местный туалет раневой поверхности.
Хирургическое лечение
 
Как видно на фото лечение хирургическим путем выполняется методом удаления омертвевших тканей ран и дренажа, особенно при развитии гангрены и выделении газа. Затем обрабатывают язвенные образования антисептиками, антибактериальными средствами, для заживления ран применяют мази, кремы. Выполняют перевязки и рекомендуют разгружать конечность: подбирать удобную обувь, сбрасывать лишний вес, меньше ходить.
К оперативным методам лечения диабетической стопы относят:
- чрезкожную транслюминальную ангиопластику сосудов для восстановления проходимости крови,
- эндартерэктомию (катетерную тромбартерэктомию): удаляют сосуды, не подлежащие восстановлению, запускают кровоток посредством дополнительных ветвей,
- шунтирование аутовенозное дистальное: создают дополнительную ветвь кровотока, обходя пораженные сосуды, и используют для этого небольшие фрагменты вен пациента,
- артериальное стентирование: устанавливают на стенки сосудов специальные сеточки или иные предметы для их поддержания,
- ампутацию пальцев, части или всей стопы или конечности.
На видео в этой статье собрана информация про диабетическую нейропатию и ее терапию.

Медикаментозное лечение
 
Консервативная терапия основана на введении:
- антибиотиков широкого спектра в индивидуальном порядке по результатам исследования содержимого язв, например, цефалоспоринов Кландомицина или Линкомицина,
- обезболивающих средств: Анальгина, Ибупрофена или Диклофенака,
- лекарств, улучшающих транспортировку крови в сосудах: Нормовена, Пентоксифиллина или Агапурина,
- Инсулина и иных сахароснижающих препаратов,
- комплексных средств: Амоксиклава, Ампиокса, макролидов: Эритромицина,
- местных антибактериальных и антисептических средств.
 
При первых признаках сухости подошв при диабете нужно обращаться к врачу для предупреждения развития сустава Шарко и диабетической стопы с язвами, поскольку через такую кожу внутрь проникает патогенная микрофлора. Терапию могут проводить с введением в схему лечения Авелокса, Аргосульфана, Бетадина, Вазонита, Дерината, Зефтеры, Инванза, Трентала, Хайнемокса или Цифрана.
При ангиопатии ног и диабете второго типа вводят лекарства, снижающие:
- уровень сахара в крови: бигуаниды и сульфаниламиды,
- плохой низкоплотный холестерин в крови: Никотиновую кислоту и ее препараты, статины,
- артериальное давление: блокаторы кальциевых каналов и расширяющие сосуды,
- склеивание стенок сосудов тромбоцитами (антитромбоцитарные средства), вязкость крови: коагулянт Герапин,
- бактериальную атаку на поздних стадиях патологии: Левофлоксацин и др.,
- болевые синдромы: Диклофенак в виде таблеток, инъекций, местно – в виде мазей и гелей.
 
В индивидуальном порядке назначают гирудотерапию, так как лечить диабетическую стопу живым лекарством от диабета – пиявками необходимо после всех исследований, в том числе проводимости сосудов, содержания экссудата в язвах, сахара в крови.
Важно знать. Пиявки ставят на биологические точки, предварительно обрабатывают кожу на нужных участках очищающими средствами без запаха, сиропом или сладкой водой, чтобы пиявка смогла произвести укус. Рядом с видимыми венами их не прикладывают.
Физиотерапия
Физиотерапевтические методы включают в комплексную терапию при синдроме диабетической стопы и полиневропатии (невоспалительных поражениях нервов) для улучшения тока крови: питания и обеспечения кислородом проблемных стоп и ног, повышения сократительной способности и чувствительности и проводимости нервных тканей, тонуса патологических измененных мышц, устранения вегетативных расстройств. Курсы физиотерапии проводят через каждые 1-1,5 месяца в течение 2-х лет и более.
Для устранения вегетативных и трофики тканей, болевых приступов назначают:
- дарсонвализацию и ультратонотерапию стоп, нижних конечностей и сегментарных зон,
- электрофорез с Новокаином для обезболивания или Но-шпой и Папаверином при вегетативном расстройстве и трофики тканей, а также с йодом и Прозерином,
- 2-4-камерные гальванические ванны,
- диадинамотерапию и интерференцтерапию на пораженные участки конечностей,
- ультрафонофорез с Гидрокортизоном, Эуфиллином, Анальгином на конечности,
- пелоидотерапию с лечебной грязью при температуре 40-44°С,
- парафиновые и озокеритовые аппликации на стопу,
- лечебный и подводный душ-массаж, иглоукалывание нижних конечностей,
- УВЧ, магнит, лазер, вакуум,
- СМТ – синусоидально-модулированные токи
- лечение светом и теплом, озоном, ваннами: радоновыми, сероводородными или скипидарными,
- плазмаферез при диабете,
- ЛФК для стоп и голеностопного сустава.
 
Метод используют для улучшения состояния больного и повышения микроциркуляции крови при ангиопатии (поражении сосудов крови по причине расстройства нервной регуляции) и нейропатии (невоспалительного поражения: дегенеративно-дистрофического изменения периферических нервов). При микроангиопатии конечностей в сопровождении болей и сосудистом гипертонусе назначают электрофорез с новокаином и йодом 1-2 курса.
При диабетической полинейропатии, включая нейропатию ног – электрофорез с Тиосульфатом натрия (5%-ный раствор), который вводят в икроножную мышцу. Не исключается терапия Новокаина с Йодом на пояснично-крестцовой области, чтобы расширить сосуды и снять болевые ощущения в ногах и стопах при наличии ангиопатий и ретинопатий, а также для оказания рассасывающего и антисклеротического воздействия.
 
У диабетиков происходит развитие кислородного голодания органов, тканей и систем за счет замедленной транспортировки крови с кислородом по сосудам. С помощью кислородной терапии устраняется гипоксия в тканях, улучшается кровообращение, органы активизируют свою работу, повышается зрение и слух.
При проведении оксигенации лечении кислородом с применением высокого давления больные с диабетом и ожирением употребляют кислородную пену. Сеанс длится 40-60 минут при курсе – 10-12 процедур.
Важно. Кислородные пенные коктейли заполняют желудок и вызывают чувство сытости, что помогает пациенту снижать свой вес. Доза инсулина и других препаратов при этом значительно уменьшается.
Сеансы магнитотерапии положительно воздействуют на обменные процессы и снижают уровень сахара в крови, способствуют лечению диабетической стопы и нейропатии за счет обезболивания, иммуностимулирующего эффекта, укрепления сосудов и трофико-регуляторного воздействия. Курс состоит из 10-12 процедур.
Иглоукалывание улучшает нервную проводимость, повышает чувствительность нижних конечностей, снижает боль, способствует похудению. Процедуру чередуют по схеме с точечным массажем, акупунктурой: лазерной и электроакупунктурой, иглорефлексотерапией.
 

При возникновении почечной недостаточности и септических осложнений на фоне сахарного диабета, заболеваний печени, нарушения работу иммунной системы, различных инфекций, осложнений после радиационного воздействия проводят плазмаферез.
В процессе процедуры:
- изымают необходимый объем крови у пациента,
- раскладывают кровь на плазму (жидкую часть) и элементы (клетки крови),
- разводят элементы в жидкости, заменяющей кровь,
- возвращают состав в кровеносную систему.
- В течение одного сеанса длительностью до 60 минут очищают 2-3 литра крови пациентов.
Для предотвращения нейропатии, ангиопатии и артропатии при диабете проводят озонотерапию. Процедура способствует повышению обмена глюкозы в эритроцитах, активизации доставки кровью кислорода и питания в ткани, устранению гипоксии и хронических инфекций за счет иммуностимулирующего воздействия.
 
При первых симптомах синдрома диабетической стопы лечащий врач может назначить гидротерапию: ванны, душ, обливания, влажные обертывания для стимулирования кровотока и лимфотока в проблемной зоне конечности, улучшения клеточного дыхания, быстрейшего восстановления тканей и общего состояния больного.
Лечебную физкультуру диабетикам назначают для активизации кровотока и лимфотока, укрепления мышц.
Комплекс ЛФК зависит от состояния ступней, но уже на первых стадиях болезни можно выполнять следующие упражнения в течение 10-15 минут в домашних условиях:
- №1. Сжимание и разжимание пальцев ног в положении сидя на стуле, спину держат прямой.
 
- №2. Перекатывание стопы в положении стоя или сидя на стуле: поднимаются на носки, затем попеременно и медленно опускают стопы на пятку.
 
- №3. Вращательные движения приподнятыми носками в положении сидя на стуле.
 
- №4. Приподнимание пяток без отрыва носков от пола и выполнение круговых движений в положении сидя на стуле.
 
- № 5. Сжимание газеты или листа бумаги пальцами ног, перекладывание разорванных кусочков на другое место, скатывание их в шар.
 
Народные средства от диабетической стопы
Лечение диабетической стопы народными средствами дано в таблице 2:
| Процедура /средство | Инструкция приготовления | Дозировка, курс и польза от лечения | 
| Отвар для промывания повреждений и язв на стопе  Плоды черемухи для отвара | Запаривают ¼ чашки плодов черемухи кипятком (0,5 л) и томят на паровой бане 20 минут. | Прикладывают компрессы и проводят промывания стоп для снижения воспаления и ускорения заживления повреждений и язв. Курс – до 20 процедур. | 
| Отвары для примочек, промываний, компрессов из бактерицидных и ранозаживляющих растений  Золототысячник для отвара | Народное лечение диабетической стопы проводят отварами трав: золототысячника, тысячелистника, полыни, крапивы, клевера, аира или хвоща полевого. На 1 часть сырья понадобится 10 частей кипятка. Кипятят состав до 5 10 мин на слабом огне, затем фильтруют. | Используют отвары для обеззараживания ран и язв, остановки кровотечений, регенерации тканей при диабетической стопе. Соком крапивы промывают раны и язвы и прикладывают к ним увлажненную салфетку на 20-30 минут. Курс лечение – 15-20 процедур. | 
| Примочка из алоэ  Сок алоэ для примочек | Из свежих листьев алоэ (3 шт.) выдавливают сок, предварительно измельчив их на терке. | Соком пропитывают ватный тампон и прикладывают к язве или ране, фиксируют бинтом. При глубоких язвах за день меняют по 4-5 раз примочку свежим увлажненным тампоном. Можно приложить лист алоэ без верхней грубой кожицы и колючек, зафиксировать бинтом. | 
| Компрессы  Мумие с медом для компрессов | Лечение в домашних условиях стопы Шарко эффективно медовыми компрессами с мумие. Если нет готового из аптеки, нужно смешать жидкий мед (100 г) с 5-10 г мумие. | Смесь распределяют по полоске из нескольких слоев бинта или марки и фиксируют ее на проблемных зонах. Меняют компресс дважды в день. Курс лечения – 15-20 процедур и более. | 
| Живица деревьев хвойных пород  Кедровая живица на кедровом масле | Принесет ожидаемый эффект уход за диабетической стопой с помощью хвойной живицы в виде масла или крема. Для получения крема живицу перетапливают со сливочным маслом (1:1). | Рану и язву обрабатывают спиртом, затем наливают масло в центр язвы и прикладывают увлажненный в составе бинт. Меняют повязку – 2-3 раза за день. Кремом смазывают проблемные зоны. Курс лечения – не менее 20 процедур. | 
Профилактика
Лечение в домашних условиях должно сочетаться с рекомендациями по профилактике диабета и стопы Шарко.
Необходимо:
- приближать к норме уровень глюкозы и гемоглобина в крови,
- носить удобную и мягкую кожаную обувь в соответствии с размером стопы,
- чаще менять носки из хлопчатобумажных или шерстяных нитей, исключая изделия с синтетическими примесями,
- не курить и не употреблять алкоголь и наркотики,
- следить за гигиеной ног,
- не применять для ухода за стопами пемзу, пилку для исключения травмирования кожи,
- мыть ноги детским мылом и споласкивать марганцовкой,
- чаще увлажнять пересушенную кожу ступней, в т.ч. кремом,
- не посещать общие бани и бассейны, чтобы не подцепить грибковую инфекцию,
- отказаться от бега и длительных пеших переходов по парку,
- исключать подъемы и переносы тяжестей,
- контролировать углеводный обмен.
 
Вопросы-ответы
Здравствуйте. Можно ли подробнее узнать, в чем заключается ангиопластика со стенированием при синдроме диабетической стопы?
Здравствуйте. Ангиопластику артерий ног относят к рентгенохирургическому вмешательству. С помощью такой операции восстанавливают просвет артерий. Для этого используют баллонные катетеры и стенты. В процессе операции создается прямой кровоток по артериям к пораженной стопе до тех пор, пока не заживет язва или рана.
Суть операции: посредством специального порта к суженным и закупоренным зонам вплоть до язв заводят проводники из проволоки. Подают высокое давление для расширения просвета артерий. Весь ход операции сосудистый хирург контролирует по монитору компьютера-рентгена.
Как только просвет будет восстановлен, артерии поддерживают в раскрытом состоянии с помощью имплантации (вставления) специальных металлических конструкций стентов. Они являются каркасом сосуда, как видно ниже на фото.
Ангиопластика позволяет восстановить кровоток в артериях, заживить трофическую ишемическую язву на стопе и избежать ампутации конечности.
 
Выводы
При заболевании сахарным диабетом необходимо регулярно проверять уровень сахара в крови, контролировать давление, вводить инсулин и пересматривать его дозировки. Чтобы не допустить развитие синдрома диабетической стопы.
При проблемах со стопами незамедлительно обращаться к врачу за диагностикой и лечением: медикаментозным, хирургическим и физиотерапевтическим. В домашних условиях следует следить за чистотой ног, избегать травм и переносов тяжестей, не допускать врастания ногтей на пальцах ног, носить свободную обувь. При наличии гнойных язв проводить санацию кожи и ран с помощью противомикробных средств, кроме йода и зеленки, соблюдать стерильность повязок.
Необходимо пересмотреть свой рацион в соответствии с рекомендациями диетолога, снижать калорийность пищи с целью похудения. Важно контролировать углеводный обмен. Исключать вредные привычки: курение, алкоголь и наркотики.
Вопрос-ответ
Как понять, что начинается диабетическая стопа?
Диабетическая стопа начинается с появления таких симптомов, как покраснение, отек, боль или ощущение жжения в области стопы, а также изменения в цвете и температуре кожи. Важно обратить внимание на наличие ранок, язв или мозолей, которые плохо заживают, а также на снижение чувствительности в ногах. Если вы заметили эти признаки, необходимо обратиться к врачу для диагностики и лечения.
Как остановить развитие диабетической стопы?
Как затормозить развитие синдрома диабетической стопы? Замедлить прогрессирование синдрома помогает: ежедневный осмотр ног. По вечерам нужно осматривать ноги с помощью зеркала, уделяя особое внимание коже пальцев сверху (там часто давит обувь), подошве стопы и большого пальца, пятке.
Каковы симптомы диабетической стопы 1 стадии?
1 – стадия поверхностной язвы, ограниченной пределами кожи. 2 – стадия глубокой язвы с вовлечением кожи, подкожно-жировой клетчатки, мышечной ткани, сухожилий, однако без поражения костей. 3 – стадия глубокой язвы с поражением костей. 4 – стадия ограниченной гангрены.
Как начинает болеть нога при сахарном диабете?
Боли в ногах могут возникать при сахарном диабете. Они довольно интенсивные, усиливаются по ночам, могут стать причиной бессонницы. Кроме болей пациенты при диабете испытывают онемение, покалывание в ногах, ощущают «мурашки», стопы холодные. Реже наблюдаются отеки и судороги нижних конечностей.
Советы
СОВЕТ №1
Регулярно проверяйте состояние своих ног. Осматривайте стопы на наличие трещин, покраснений или других изменений. Это поможет выявить проблемы на ранней стадии и предотвратить осложнения.
СОВЕТ №2
Поддерживайте уровень сахара в крови в пределах нормы. Контроль гликемии поможет снизить риск развития диабетической стопы и других осложнений, связанных с диабетом.
СОВЕТ №3
Выбирайте удобную и подходящую обувь. Избегайте тесной или неудобной обуви, которая может привести к натиранию и образованию мозолей. Лучше всего выбирать обувь из натуральных материалов с хорошей поддержкой.
СОВЕТ №4
Обратитесь к врачу при первых признаках проблемы. Если вы заметили изменения в состоянии стоп, такие как боль, отек или изменение цвета, не откладывайте визит к специалисту для своевременной диагностики и лечения.
 
 
 
 
 
							
							
						 
							 
 
