
Причины возникновения псевдотуморозного панкреатита
Хронический псевдотуморозный панкреатит начинает развиваться на фоне следующих провоцирующих факторов:
- несвоевременного и нерезультативного лечения хронической формы панкреатического поражения поджелудочной железы,
- на фоне заболеваний желчного пузыря,
- при чрезмерном употреблении алкоголесодержащих напитков,
- при некоторых формах болезней инфекционного характера,
- аутоиммунные патологии,
- травматизация поджелудочной железы механического типа,
- развитие кистозного поражения органа, а также формирование опухоли.
Основной причиной развития псевдотуморозного панкреатита является отсутствие соответствующего лечения панкреатического поражения железы, имеющего хронический характер развития, а также отступлением от назначенной диеты и наличием вредных привычек в виде распития алкогольных напитков и табакокурения. Не маловажную роль играет еще и наследственность.
Туморозный панкреатит преимущественно включает в свою группу риска людей мужского пола, злоупотребляющих спиртосодержащими напитками.
Врачи отмечают, что псевдотуморозный панкреатит представляет собой сложное и многогранное заболевание, которое может затруднить диагностику и лечение. По мнению специалистов, данное состояние часто возникает на фоне хронического панкреатита и характеризуется образованием псевдопухолей, что может имитировать злокачественные новообразования. Врачи подчеркивают важность дифференциальной диагностики, так как неправильная интерпретация результатов исследований может привести к ненужным хирургическим вмешательствам.
Кроме того, эксперты акцентируют внимание на необходимости комплексного подхода к лечению, который включает как медикаментозную терапию, так и изменение образа жизни пациента. Врачи рекомендуют регулярное наблюдение и контроль состояния, чтобы избежать осложнений и улучшить качество жизни пациентов. В целом, понимание особенностей псевдотуморозного панкреатита является ключевым для эффективного лечения и управления этим заболеванием.

Механизм возникновения патологии
Развитие деструктивного процесса в полости поджелудочной железы берет свое начало с активизации ферментативных компонентов в виде липазы, трипсина, фосфолипазы и др., способствующих образованию отечности и само переваривания тканевых структур органа, ведущих к некротическому поражению определенных участков железы.
Для предотвращения попадания продуктов от самопереваривания тканей железы в кровотоки, в организме пациента начинает активизироваться защитный механизм, ограничивающий расхождение токсичных компонентов, путем ограждения очагов омертвления соединительными тканями с формированием псевдо кистозных образований. С началом каждого обострения панкреатита численность псевдо кистозных образований растет, что ведет к отечности поджелудочной железы. С течением времени, поверхности этих образований начинает обезыствляться, а спустя десятилетие способствовать развитию уплотнения в органе и увеличению его размеров. Такое развитие механизма патологического процесса в полости поджелудочной железы, с одной точки зрения, оказывает защитную функцию и предотвращает преждевременное наступление летального исхода, а с другой точки зрения, способствует развитию значительных гипертрофических процессов в паренхиматозном органе и дальнейшего оказания компрессионного воздействия на смежные органы.
Прогрессирующая стадия гипертрофических процессов в определенном участке железы, преимущественно это происходит в головке, ведет к сдавливанию таких органов, как:
- желчевыводящие протоки,
- 12-ти перстная кишка,
- воротная вена,
- селезеночная вена.
Вследствие сдавленности вышеуказанных органов, общее самочувствие пациента начинает еще больше ухудшаться.
Токсико-метаболическая природа заболевания
Хронический процесс отравления этанолом либо острая воспалительная патология, развивающаяся на фоне действия лекарственных средств, способствуют значительному уровню увеличения содержания белковых молекул в составе панкреатического сока.
Под воздействием алкогольной продукции происходит ускоренный процесс осаждения СаСО3 в полости пораженной железы, что ведет к образованию нерастворимых камней.
Образовавшиеся камни в железе, способствуют развитию обструктивных процессов в полости панкреатических протоков, а также изъязвлению эпителиальных стенок. Прогрессирующая стадия фиброза провоцирует развитие хронической формы панкреатита с формированием кистозных поражений в теле поджелудочной, а также отложению камней в полости панкреатических протоков.
Все вышеуказанные процессы возникают при угнетении клеточной энергии на фоне окислительного воздействия на их мембраны деятельностью свободных радикалов, формирующихся при расщеплении ядовитых веществ.
Псевдотуморозный панкреатит вызывает множество обсуждений среди пациентов и специалистов. Многие отмечают, что это состояние часто путают с опухолями поджелудочной железы, что приводит к ненужным переживаниям. Люди делятся своими историями о том, как им ставили диагноз, и как они искали второе мнение, чтобы подтвердить или опровергнуть его. Некоторые пациенты рассказывают о симптомах, таких как боль в животе и потеря веса, которые заставили их обратиться к врачу. Важно отметить, что многие отмечают положительный эффект от изменения образа жизни и диеты. Однако, несмотря на улучшения, страх рецидива остается. Врачи подчеркивают важность регулярного наблюдения и контроля состояния, чтобы избежать осложнений. Обсуждения на форумах и в социальных сетях помогают людям чувствовать себя менее одинокими в своей борьбе с этим заболеванием.

Симптоматика и признаки болезни
Развитие псевдотуморозной формы панкреатического поражения поджелудочной железы сопровождается возникновением следующих симптоматических признаков:
- возникновение боли, имеющей выраженный характер течения,
- резкое снижение массы тела на протяжении короткого периода времени,
- определение неравномерности в увеличении поджелудочной в момент проведения пальпаторного обследования брюшной полости,
- патологическое изменение внешнесекреторной функциональности органа,
- расстройства диспепсической системы,
- рвота и тошнота,
- побледнение кожных покровов с приобретением желтушного оттенка,
- увеличение головки железы.
Также у пациентов проявляется регулярное чувство слабости, мгновенной утомляемости и развитие бессонницы, что становится причиной развития нарушения психоэмоционального состояния.
Методы диагностики
Диагностирование данной формы патологии заключается в поэтапном исследовании пациента:
- назначается сдача анализов кала, крови и мочи на общеклиническое исследование,
- проведение УЗИ,
- кровь на биохимию,
- рентгенография,
- МРТ и КТ,
- эндоскопическое исследование панкреатических протоков,
- гистологическое исследование на проведение дифференциальной диагностики с развитием раковой опухоли в области головки железы.

Результаты лабораторной диагностики
В составе крови при лабораторном исследовании обнаруживается:
- увеличенная концентрация СОЭ,
- повышенный уровень содержания лейкоцитов,
- биохимическое исследование показывает повышение билирубина, липазы, трипсина и сиаловых кислот.
Анализы мочи показывают увеличенную концентрацию билирубина, но отсутствие уробилина, а также увеличенное количество альфа-амилазы. По анализам кала делаются выводы о нарушении процессов пищеварения.
УЗИ брюшной полости
Ультразвуковая диагностика позволяет выявить увеличение пораженной части железы, неравномерный эхо-сигнал от панкреатических тканевых структур, неровный контур, сужение или полное перекрытие панкреатических протоков.
Чтобы получить более полную информацию о развитии патологии и дифференцировать ее от развития рака поможет проведение гистологического исследования.
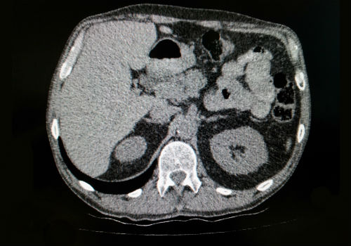
МРТ поджелудочной железы
Мрт диагностика является одним из наиболее высокоинформативных способов уточнения состояния паренхиматозных органов. При проведении МРТ либо КТ диагностики подтверждается, либо полностью исключается развитие медленного процесса формирования карцином.
Чтобы визуализировать состояние панкреатических протоков и оценить степень их поражения при проведении МРТ выполняется процедура ЭРХПГ, также в некоторых ситуациях может проводиться ангиографическое исследование сосудистых волокон поджелудочной железы.
Лечение псевдотуморозного панкреатита
В большинстве случаев, терапевтическое лечение псевдотуморозного панкреатита имеет положительный прогноз, при условии комплексного подхода к его устранению, заключающегося в следующем:
- медикаментозная терапия,
- диетотерапия,
- консервативные методы лечения,
- эндоскопия,
- операция,
- народное лечение.
Консервативное лечение
Данный вид лечения не является столь эффективным при развитии данного заболевания. Употребление препаратов обезболивающего спектра действия, голодовка во время обострения патологии и использование средств, обеспечивающих нормализацию секреторной функциональности железы, не дают необходимого эффекта и не способствуют переведению болезни в стадию стойкой ремиссии.
Хотя, проведение данных мероприятий необходимо для того, чтобы немного успокоить поджелудочную для более благоприятного проведения хирургического вмешательства.
Хирургическое вмешательство
Во время проведения операции иссекаются разросшиеся тканевые структуры поджелудочной, что способствует снятию компрессии с вирсунгового и желчного протоков. Иссеченные ткани пораженного органа сразу исследуются на гистологию. В том случае, когда гистологическое исследование показывает наличие раковых клеток, то, не прерывая операцию, пациенту проводят панкреатодуоденальное иссечение пораженных тканей.
Если же, при гистологическом исследовании не было выявлено наличия раковых клеток, то пациенту проводится резекция головки железы и вылущивание самых больших кистозных образований, оказывающих сдавливающее воздействие на панкреатические протоки.
После проведения подобной операции, заболевание практически сразу переходит в стадию стойкой ремиссии.
Народные средства
Для лечения поджелудочной железы также повсеместно используются рецепты от народных целителей. Восстановить работоспособность пораженного органа, поддержать его в периоды ремиссий помогут такие средства, как настои и отвары из лекарственных трав, а также настойки и овсяной кисель, способствующий не только нормализации железы, но и очищению всего организма от вредных шлаков и токсинов.
Одним из самых эффективных средств является отвар на основе календулы и ромашки, обладающий противовоспалительными и антибактериальными свойствами. Перед использованием каких-либо средств от народных целителей, необходимо обязательно посоветоваться с лечащим врачом.
Диета и профилактика
Для проведения диетотерапии назначается соблюдение диетического питания со столом №5, который предусматривает исключение следующих продуктов питания:
- крепкие чайные и кофейные напитки, а также алкоголь,
- хлебобулочные и кондитерские изыски,
- жирную пищу,
- капуста и бобовые культуры,
- фруктовые культуры с ярко-выраженным кислым вкусом.
Разрешается употреблять:
- термически обработанные овощные и фруктовые культуры,
- не жирные разновидности мяса и рыбы в вареном виде,
- супы-пюре,
- не жирные кисломолочные изделия,
- макароны и крупы,
- компот, морс, чайные напитки на основе трав.
Диетическое питание должно стать для пациента грандиозным изменением всего образа жизни, которого необходимо придерживаться на протяжении всего последующего периода жизни. Только так можно рассчитывать на стойкую ремиссию патологии.
Полный отказ от вредных привычек в виде распития алкоголя и табакокурения станет надежной профилактической мерой против развития рецидива и обострения болезни.
Прогноз на излечение и осложнения заболевания
Терапевтическое лечение патологии в основном имеет благоприятный прогноз, но, не смотря на это, к самому процессу устранения патологии необходимо подходить с полной ответственностью и соблюдать все предписания врача. В противном случае, дальнейшее развитие истории болезни может спровоцировать следующие разновидности осложнений:
- желтуха,
- перитонит,
- тромбоз вен,
- повышение интенсивности кистозного поражения,
- внутреннее кровоизлияние,
- малигнизация.
Также запущенная форма псевдотуморозного панкреатита может стать причиной развития сахарного диабета.
Вопрос-ответ
Что значит псевдотуморозный панкреатит?
Псевдотуморозный панкреатит — клиническая ситуация, когда симптомы напоминают опухоль поджелудочной железы. Возникает из-за выраженного воспаления, отёка тканей и сдавления протоков. Может сопровождаться болями, нарушением пищеварения и потерей веса. Без наблюдения возможны ошибочные действия и ухудшение состояния.
Что такое псевдоопухолевый панкреатит?
Псевдоопухолевый панкреатит имеет признаки рака, которые выражаются в желтушности тела и склер глаза. Диспепсический панкреатит выражается в расстройстве кишечника, поносе, запоре, вздутии, беспричинной потере веса. Панкреатит, особенно хронический, приводит к диабету.
Как понять, что начался некроз поджелудочной железы?
Первым симптомом обычно выступает острая опоясывающая боль, иррадиирующая в левую половину живота и поясницы, левое плечо. Безболевых форм панкреонекроза не бывает. Между выраженностью болевого синдрома и тяжестью некроза поджелудочной железы существует прямая зависимость.
Сколько живут с диагнозом панкреатит?
В России заболеваемость хроническим панкреатитом составляет 27,4-50 случаев на 100 000 населения в год. Первичная инвалидизация больных достигает 15%. Около 20% больных хроническим панкреатитом умирает от его осложнений в срок до 10 лет от момента установления диагноза.
Советы
СОВЕТ №1
Обратитесь к врачу при первых симптомах. Если вы испытываете боли в животе, тошноту или другие необычные симптомы, не откладывайте визит к специалисту. Ранняя диагностика может предотвратить осложнения и улучшить прогноз.
СОВЕТ №2
Следите за своим питанием. Избегайте жирной и острой пищи, а также алкоголя, так как они могут усугубить состояние поджелудочной железы. Сбалансированная диета, богатая овощами, фруктами и нежирными белками, поможет поддерживать здоровье.
СОВЕТ №3
Регулярно проходите медицинские обследования. Псевдотуморозный панкреатит может быть связан с другими заболеваниями, поэтому важно регулярно проверять состояние поджелудочной железы и следить за изменениями в здоровье.
СОВЕТ №4
Обсуждайте свои симптомы и лечение с врачом. Не стесняйтесь задавать вопросы и делиться своими переживаниями. Открытое общение с медицинским специалистом поможет вам лучше понять свое состояние и выбрать оптимальную стратегию лечения.

 

 

 

 
 
							
							
						 
							 
 
