По сравнению с другими эндокринными заболеваниями, сахарный диабет у беременной представляет наибольшую опасность для плода. Диабетическая фетопатия новорожденных Такой ребенок всегда требует особого внимания.
Повышенный уровень глюкозы в крови будущей матери негативно влияет на развитие малыша. Показатели заболеваемости и смертности в этой группе остаются высокими, несмотря на все достижения современной медицины.

Патогенез
Факторы, ведущие к развитию патологии:
- высокие концентрации глюкозы в крови беременной,
- гормональная перестройка,
- функциональная недостаточность плаценты.

Через плаценту глюкоза поступает в кровь ребенка. Также постоянно идет активный транспорт аминокислот. Инсулин же через плаценту не проникает.
В первые 12 недель беременности поджелудочная железа плода не способна к функционированию в полном объеме. Этот период очень важен для развития будущего ребенка. Чрезмерно высокие концентрации глюкозы могут привести к формированию пороков развития (сердца, позвоночника, нервной системы).
С 12 недели поджелудочная железа плода в ответ на высокий уровень сахара в крови начинает активно вырабатывать инсулин. Это приводит к гипертрофии поджелудочной железы. Результат — склонность к тяжелым и длительным гипогликемиям у новорожденных в первые дни жизни.
Гормональные и метаболические нарушения приводят к формированию макросомии (увеличению массы тела плода). Также нарушается синтез лецитина, что играет важную роль в развитии дыхательных нарушений у новорожденного.
Современные исследования показывают, что диабетическая фетопатия остается серьезной проблемой в акушерстве и педиатрии. Врачи отмечают, что высокие уровни глюкозы в крови матери могут приводить к различным аномалиям развития плода, включая пороки сердца, нарушения нервной системы и другие осложнения. Специалисты подчеркивают важность контроля уровня сахара во время беременности, а также необходимость регулярного мониторинга состояния плода. Врачи рекомендуют индивидуализированный подход к каждой пациентке, включая диетические рекомендации и, при необходимости, медикаментозное лечение. Современные технологии, такие как ультразвуковое исследование и генетическое тестирование, помогают в ранней диагностике и профилактике диабетической фетопатии, что позволяет значительно улучшить исходы для матери и ребенка.

Гестационный сахарный диабет
Развивается после 20 недель беременности. Плацента продуцирует лактосоматотропин, гормон, который снижает чувствительность периферических тканей к инсулину. Страдают женщины с ожирением или большой прибавкой веса за время беременности. Имеет значение также отягощенная наследственность.
Фетопатия плода при гестационном сахарном диабете беременных встречается в 25% случаев. Состояние новорожденного редко бывает тяжелым.
Осложнения беременности и родов при сахарном диабете

Нередко встречаются:
- прогрессирование осложнений сахарного диабета (нефропатии, ретинопатии),
- выкидыши на ранних сроках,
- тяжелые гестозы,
- артериальная гипертензия (часто приводит к преэклампсии и эклампсии),
- многоводие,
- хроническая внутриутробная гипоксия плода,
- вторичные инфекции на фоне снижения иммунитета (кольпиты, пиелонефриты),
- родовые травмы у новорожденного (связано с большим весом малыша),
- высокий риск оперативного родоразрешения (кесарево сечение) и послеоперационных осложнений,
- мертворожденность, пороки развития,
- нередко бывают преждевременные роды.
Внимание! К вынашиванию ребенка нужно готовиться заранее! Если стабилизировать сахар в крови еще на стадии планирования беременности, удастся избежать самых тяжелых осложнений.
Диабетическая фетопатия — это состояние, которое возникает у новорожденных, чьи матери страдают от диабета. Современные исследования подчеркивают важность контроля уровня сахара в крови во время беременности, так как это напрямую влияет на здоровье плода. Ученые отмечают, что высокие уровни глюкозы могут привести к различным аномалиям, включая пороки сердца и нарушения развития. Врачи рекомендуют регулярные обследования и индивидуализированный подход к лечению для женщин с диабетом. Также акцентируется внимание на необходимости образовательных программ для будущих матерей, чтобы они понимали риски и могли принимать меры для их минимизации. Важно, чтобы женщины знали о возможных последствиях и имели доступ к необходимой медицинской помощи.

Клиническая картина
Диабетическая эмбриофетопатия — патологический синдром, который развивается у детей от матерей, больных сахарным диабетом, в результате поражения плода до 12 недели внутриутробной жизни. Включает характерные внешние признаки и пороки развития.
Варианты фетопатии
В зависимости от степени поражения, патологический синдром проявляется по-разному.
Выраженность клинических проявлений зависит от формы заболевания матери и степени компенсации ее состояния на момент беременности. Особенно опасен диабет 1 типа.
- Гипопластический вариант. Характерно для тяжелой формы сахарного диабета с сосудистыми осложнениями (нефропатия, ретинопатия). Следствие поражения мелких сосудов плаценты, которое приводит к нарушению питания. Часто встречается внутриутробная гибель плода, гипотрофия, врожденные пороки развития.

- Гипертрофический вариант. Развивается на фоне высокой гипергликемии, но без выраженных сосудистых осложнений. Рождается незрелый ребенок с большой массой тела.
Характерные признаки
| Макросомия | Большая масса тела ребенка (выше 4 кг при доношенной беременности).
Увеличение количества подкожной клетчатки. Проявляется образованием жировых складок на шее, туловище и конечностях. Нередко вес новорожденного достигает 5 кг и более (гигантский плод). |
Гигант |
| Особенности внешнего вида | К ним относятся:
|
Специфический внешний вид |
| Фетопатия диабетическая у новорожденных проявляется морфологической и функциональной незрелостью | Клинические признаки:
|
Характерный цвет кожи Волосы на теле |
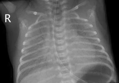
| Синдром дыхательных расстройств | Возникает из-за нарушения образования сурфактанта.
Признаки:
Иногда развивается тяжелая дыхательная недостаточность. |
Рентгенологическая картина легких |
| Снижение уровня сахара в крови | Гипогликемия у новорожденного — это снижение глюкозы в крови ниже 3 ммоль/л. Критический уровень — менее 2,2 ммоль/л.
Возникает в первые часы жизни. Объясняется повышенным уровнем инсулина у плода. Клинические проявления:
|
Очень важно постоянное отслеживание сахара в крови! |
https://youtube.com/watch?v=kRcqK-OroAQ
Частая патология
Также у детей с диабетической эмбриофетопатией встречаются:
- Врожденные аномалии. Наиболее распространенные: пороки сердца (дефект межжелудочковой перегородки, транспозиция магистральных сосудов, открытый аортальный проток), центральной нервной системы (анэнцефалия), расщелины губы и твердого неба, пороки развития почек.
- Снижение в крови уровня кальция и магния. Приводит к повышенной возбудимости, респираторным нарушениям. Может стать причиной судорог.
- Полицитемия — это патологический синдром, характеризующийся увеличением эритроцитов и гемоглобина. Объясняется усиленным образованием эритроцитов в ответ на хронический стресс. Клинически проявляется багровым цветом кожи, сердечно-сосудистыми и дыхательными нарушениями.
- Желтуха. При полицитемии распад «лишних» эритроцитов ведет к повышению уровня билирубина в крови. Имеет значение также недостаточность выделительной функции печени из-за морфофункциональной незрелости. Билирубин накапливается в коже. При высоких концентрациях в крови может проникать через гематоэнцефалический барьер и вызывать поражение головного мозга.
- Родовые травмы (кефалогематомы, переломы ключиц). Следствие гигантских размеров плода. Рождение ребенка весом более 5 кг создает трудности даже при оперативном родоразрешении.
- Перинатальное поражение ЦНС. В дальнейшем проявляется задержкой формирования двигательных навыков.
- Увеличение селезенки и печени.

План обследования ребенка от матери с сахарным диабетом
Помогает предотвратить развитие опасных для жизни осложнений.
Включает:
- Осмотр и оценка физических параметров (взвешивание и измерение роста).
- Общий анализ крови, определение гемоглобина и гематокрита.
- Отслеживание частоты сердечных сокращений и дыхания.
- Оценка газов крови (помогает выявить дыхательные нарушения в ранней стадии).
- Биохимия: билирубин, электролиты.
- Контроль глюкозы крови каждые два часа с рождения.
- УЗИ сердца и органов брюшной полости.
- В случае развития респираторных нарушений показана рентгенография грудной клетки.
Обследование новорожденного от матери с сахарным диабетом всегда проводится в срочном режиме! Для этого ребенок переводится в специализированное отделение.

Как помочь малышу?
Фетопатия диабетическая у новорожденных требует врачебного внимания сразу же после рождения.
Терапевтические мероприятия:
- Адекватный температурный режим. Все дети с этой проблемой плохо удерживают тепло из-за незрелости механизмов терморегуляции. Иногда необходим инкубатор.
- В случае респираторных нарушений применяется кислородная терапия. При тяжелой дыхательной недостаточности нужна искусственная вентиляция легких.
- Нормализация уровня сахара в крови. Если у матери сахарный диабет в тяжелой форме, инфузию 10% глюкозы начинают сразу же после рождения, не дожидаясь результата анализа крови.
- Коррекция электролитных нарушений. Проводится инфузионная терапия с учетом суточной потребности кальция и магния, а также их недостатка у данного пациента.
- Для лечения желтухи применяют фототерапию.
- В случае выявления врожденных пороков производится их хирургическая коррекция после стабилизации состояния малыша.




Внимание! Если у будущей матери сахарный диабет, роды должны проводиться в родовспомогательных учреждениях высокого уровня, где есть все для оказания квалифицированной помощи.
Профилактические мероприятия включают наблюдение за беременной женщиной, лечение и выявление сахарного диабета.
Частые вопросы врачу
Сколько времени занимает лечение?
Добрый день! Моя жена недавно родила. С ребенком проблемы. Говорят, из-за того, что у жены диабет. Сына сразу забрали в реанимацию. Никто не хочет мне сказать, долго ли он там будет? Дело в том, что мне надо ехать в командировку. Я не знаю, успею ли к выписке? Скажите, сколько времени нужно на лечение новорожденного от диабетической фетопатии?
Здравствуйте! Сроки лечения зависят от тяжести состояния ребенка и наличия осложнений. Рекомендую вам поговорить с лечащим врачом.
Может ли женщина с диабетом родить здорового ребенка?
Здравствуйте! У меня срок беременности 25 недель. Недавно вернулась от врача в слезах: сказали, что у меня гестационный сахарный диабет. Всегда все анализы были в норме! Начиталась всяких ужасов и очень боюсь за малыша. Что теперь с ним будет?
Добрый день! Не волнуйтесь, фетопатия плода при гестационном сахарном диабете беременных возникает лишь у 25% новорожденных. Хорошо, что диагноз поставлен вовремя, это поможет избежать осложнений.
Вопрос-ответ
Почему сейчас у всех ГСД?
Во время беременности нарастает инсулинорезистентность — основная причина развития ГСД. Такое состояние усугубляется при увеличении калорийности рациона, снижении физической активности и избыточной прибавке веса.
Каковы внешние признаки диабетической фетопатии?
К внешним проявлениям ДФ относят такие признаки, как: одутловатое, лунообразное лицо, заплывшие глаза, короткая шея, широкий плечевой пояс, общая пастозность и ожирение туловища, гипертрихоз, короткие конечности.
Какая страна на первом месте по сахарному диабету?
Большая часть приходится на Индию (212 млн.) и Китай (148 млн.). Также в пятерку стран с самым большим числом больных СД входят США, Пакистан, Индонезия и Бразилия. По данным в общей сложности около 445 млн.
Как часто встречается ГСД?
Гестационный сахарный диабет (ГСД), или диабет беременных, – эндокринное заболевание, которое развивается на фоне нарушения углеводного обмена в организме при беременности. Такая патология встречается примерно у 3−4% беременных.
Советы
СОВЕТ №1
Регулярно контролируйте уровень сахара в крови. Это поможет вам своевременно выявлять изменения и корректировать лечение, что особенно важно для предотвращения осложнений, связанных с диабетической фетопатией.
СОВЕТ №2
Следите за своим питанием. Сбалансированная диета, богатая клетчаткой, витаминами и минералами, поможет поддерживать уровень глюкозы в норме и снизит риск развития осложнений как у матери, так и у плода.
СОВЕТ №3
Регулярно посещайте врача и проходите все необходимые обследования. Это позволит вам получать актуальную информацию о состоянии здоровья и адаптировать план лечения в зависимости от изменений в вашем состоянии.
СОВЕТ №4
Обсуждайте с медицинским специалистом возможные риски и стратегии их минимизации. Знание о потенциальных осложнениях и их профилактике поможет вам лучше подготовиться к беременности и родам.
Гигант
Специфический внешний вид
Характерный цвет кожи
Волосы на теле
Рентгенологическая картина легких
Очень важно постоянное отслеживание сахара в крови!