Поджелудочная железа является органом пищеварительной системы, который занимается выработкой пищеварительных ферментов. Однако в силу постоянных и иногда чрезмерных нагрузок в железе начинают развиваться патологические процессы, которые выводят ее работу из строя. Среди них находится и липоматоз. Заболевание весьма опасное, так как оно не поддается лечению. А что такое липоматоз поджелудочной железы и как он проявляется, вы сейчас и узнаете.
Липоматоз – это…
В медицине липоматозом именуют состояние, при котором клетки поджелудочной железы подвергаются патологическим процессам, вследствие чего замещаются жировой или соединительной тканью. Данный процесс не обратим. Если он начал развиваться, восстановить работу клеток становится невозможным, а это значит, что после возникновения этого заболевания поджелудочная железа уже никогда не будет работать так, как прежде. Обуславливается это тем, что жировые клетки не могут функционировать так, как это делали клетки поджелудочной.
Липоматоз имеет еще несколько названий – жировой липоматоз, стеатоз, фибролиматоз, гепатоз. Основной причиной его возникновения является отмирание клеток поджелудочной железы. Как правило, такое явление наблюдается при развитии острых или длительных хронических болезней, например, панкреатита или панкреонекроза. И чтобы сохранить свою целостность, железа начинает вырабатывать клетки, которые являются так называемым стройматериалом для нее.
Таким образом, получается, что липоматоз – это естественная защитная реакция организма, которая, к сожалению, не добавляет здоровья, а наоборот, отнимает его. Вместо здоровых и функционирующих клеток в поджелудочной начинают преобладать жировые или соединительные включения. Однако ни те, ни другие не могут выполнять функций, а потому работа железы нарушается.
Но стоит отметить, что у здорового человека поджелудочная железа также содержит в себе жировые и соединительные включения, и без них орган также не может нормально функционировать. И если данные включения незначительные, то это никаким образом не сказывается на самочувствии и здоровье человека. Однако если рост этих клеток выходит из-под контроля, то это приводит к разрастанию отдельных жировых участков, в результате чего в органе образуются целые «островки», которые препятствуют его нормальной работе.
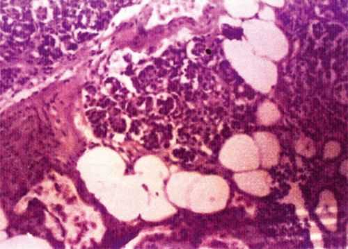
Липоматоз поджелудочной
Врачи отмечают, что липоматоз поджелудочной железы представляет собой состояние, при котором происходит замещение нормальной ткани железы жировой. Это может быть связано с различными факторами, включая генетическую предрасположенность, ожирение и метаболические нарушения. Специалисты подчеркивают, что в большинстве случаев липоматоз протекает бессимптомно и не требует активного лечения. Однако в некоторых ситуациях он может приводить к нарушению функции поджелудочной железы, что требует внимательного наблюдения. Врачи рекомендуют регулярные обследования для мониторинга состояния органа, особенно у пациентов с сопутствующими заболеваниями. Важно также учитывать, что здоровый образ жизни и сбалансированное питание могут способствовать замедлению прогрессирования липоматоза и улучшению общего состояния пациента.

Провоцирующие факторы
Причины возникновения липоматоза поджелудочной железы до сих пор не установлены. Однако как утверждают ученые, если липомы формируются в других внутренних органах, то риск их возникновения в железе возрастает в несколько раз.
Параллельно с этим врачи выделяют заболевания, которые, как правило, диагностируются:
- ожирение,
- алкогольная и никотиновая зависимость,
- панкреатит хронической формы,
- сахарный диабет 1 и 2 типа,
- гепатит, при котором нарушается функциональность печени,
- гипотиреоз, характеризующийся недостаточным синтезом гормонов щитовидной железы.
Ученые предполагают, что вышеописанные соматические заболевания могут не только спровоцировать липому поджелудочной, но и являться следствием этой болезни. Поэтому если у человека было диагностировано данное заболевание, ему необходимо периодически проходить профилактические обследования, чтобы своевременно выявить осложнения и начать их лечение.
Симптомы
При развитии липоматоза поджелудочной симптомы могут быть разными. Все зависит от течения болезни и степени пораженности органа. Если жировые и соединительные включения имеют маленькие размеры и равномерно рассеяны по всей железе, то в этом случае никакой симптоматики, которая бы заставила человека обратиться к врачу, нет. Мелкие диффузные изменения не оказывают давления на паренхиму органа, следовательно, не препятствуют ее нормальному функционированию. В данном случае выявление патологии происходит совершенно случайно во время прохождения УЗИ на предмет другого заболевания.
УЗ-исследование поджелудочной железы
Как правило, во время ультразвукового исследования врач дает оценку общему состоянию поджелудочной, сопоставляя ее размеры с нормальными значениями. Если же какие-то ее участки имеют уплотнения, то это уже говорит о развитии некоторых заболеваний, которые могут привести к возникновению некроза или липоматоза. Поэтому при выявлении во время УЗИ даже незначительных отклонений от нормы пациенту необходимо обратить внимание на этот орган и пройти более детальное обследование, которое позволит установить точную причину подобных изменений.
В том случае, если в органе уже имеются включения по типу жировой ткани, то об этом «рассказывает» эхогенность органа (его способность отражать ультразвуковые волны). Она становится неравномерной, что позволяет понять, какие именно участки поджелудочной подверглись патологическим процессам.
Если же жировые включения имеют большие размеры, то это приводит к серьезным изменениям в работе поджелудочной, что проявляется различными признаками:
- повышением сахара в крови,
- расстройствами кишечника,
- болями в левом или правом подреберье,
- отвращение к жирной пище,
- тошнота,
- резкое снижение веса,
- повышенное содержание жиров в кале,
- наличие в каловых массах непереваренных кусочков пищи и т.д.
Липоматоз относится к заболеваниям доброкачественного характера. Развивается оно очень медленно, и если человек будет соблюдать все рекомендации врача, то у него есть все шансы избежать возникновения проблем со здоровьем и устранить угрозу для своей жизни.
Липоматоз поджелудочной железы — это состояние, при котором происходит замещение нормальной ткани железы жировой. Многие пациенты, узнав о диагнозе, испытывают тревогу и недоумение. В интернете можно встретить различные мнения: одни считают это серьезной угрозой для здоровья, другие — лишь незначительным отклонением. Важно отметить, что в большинстве случаев липоматоз не вызывает симптомов и не требует лечения. Однако некоторые люди делятся опытом, когда изменение в поджелудочной железе стало поводом для пересмотра образа жизни, включая диету и физическую активность. Врачебные рекомендации часто акцентируют внимание на регулярных обследованиях, чтобы контролировать состояние и избежать возможных осложнений. Общение с другими пациентами также помогает многим справиться с беспокойством и лучше понять свое состояние.

Степени развития липоматоза поджелудочной
Говоря о стадиях развития липоматоза поджелудочной, следует отметить, что в этом случае мнения специалистов немного расходятся, хотя каждое утверждение имеет свое право на жизнь. Если рассматривать это заболевание со стороны распространенности патологических процессов, то в этом случае болезнь имеет три степени своего развития. Липоматоз поджелудочной железы 1 степени характеризуется поражением не более 30% клеток органа, 2 степени – от 30% до 60%, 3 степени – более 60%.
Липоматозный узел
Но существует еще одно мнение. Если, например, у человека наблюдается очаговая липома, поражающая отдельные участки поджелудочной, например, околопроточные зоны, то в этом случае функциональность органа значительно снижается, хотя по степени распространенности патологии она может относиться к первой стадии, при развитии которой у пациентов вообще отсутствуют какие-либо признаки болезни.
А когда протоки сдавливаются, то это становится причиной серьезных пищеварительных расстройств, которые могут проявляться тошнотой, диареей, коликами и прочими симптомами. Да и в целом общее состояние больного ухудшается, что влияет на его работоспособность и приводит к повышенной утомляемости.
Но есть и еще одна группа специалистов, которые классифицируют липоматоз поджелудочной следующим образом:
- мелкоочаговый или диффузный,
- слитый, при котором на органе появляются жировые «островки».
Лечение
Лечение липоматоза поджелудочной железы может происходить несколькими способами:
- консервативным,
- хирургическим.
Лечебная терапия медикаментами показана в том случае, если жировые включения в поджелудочной имеют маленькие размеры и носят рассеянный тип, то есть равномерно располагаются по всей железе и не препятствуют ее функционированию. А вот если жировые включения сливаются, образуя «островки», сдавливают протоки поджелудочной и становятся причиной нарушения ее функциональности, то в этом случае показано хирургическая терапия, при которой осуществляется удаление патологических очагов.
Что касается консервативного лечения, то оно включает в себя:
- диету, основной целью которой является снижение употребляемых жиров,
- избавление от избыточного веса.
Избыточный вес – одна из самых распространенных причин развития липоматоза поджелудочной, и при постановке такого диагноза от него нужно избавляться незамедлительно! Важно! Никакие медикаменты не помогают устранить липомы в поджелудочной, так как они не рассасываются. Все мероприятия в этом случае направлены только на предотвращение дальнейшего разрастания жировых клеток в железе. Поэтому и народными средствами лечить этот недуг не стоит, они тоже не дадут положительных результатов. Единственный способ избавиться от липом – это операция, но и она чревата своими осложнениями.

Питание при липоматозе поджелудочной железы
Диета при лимопатозе поджелудочной железы – один из важнейших и ключевых моментов лечения данной патологии. Так как она сопровождается необратимыми процессами в поджелудочной, устранить пораженные участки уже не получится. Поэтому основной целью терапии является приостановить развитие патологических процессов. И в этом сможет помочь только правильное питание. Оно позволит предотвратить прогрессирование болезни и избежать появление осложнений, при которых придется делать операцию.
Основа диеты – это дробное питание. Хотя оно и является принципом правильного питания, в современном обществе оно воспринимается как некое исключение или принуждение, но сейчас не об этом. Итак, больному, у которого был диагностирован липоматоз, необходимо кушать до 5 раз в день небольшими порциями.
Правильное питание – единственный шанс предотвратить дальнейшее прогрессирование болезни
Что касается самой пищи, то в этом случае назначается лечебный стол №5, который в принципе показан всем людям, страдающим от болезней поджелудочной. Он имеет некоторые ограничения в питании, которые предполагают под собой исключение из повседневного рациона следующих продуктов:
Что такое некроз поджелудочной железы
- жирных и жареных блюд,
- сладости,
- сдобную выпечку,
- шоколад,
- какао,
- копчености,
- соленья,
- полуфабрикаты,
- консервы,
- фаст-фуд,
- газированные и алкогольные напитки,
- кофе.
Лечебный стол №5 хорош тем, что он обладает липотропными свойствами, препятствует дальнейшему набору веса и при этом обеспечивает человеческий организм всеми необходимыми питательными веществами. Но чтобы употребляемая пища действительно давала пользу и препятствовала дальнейшему развитию липоматоза, она должна готовиться по определенным правилам. Все блюда должны вариться, тушиться без добавления масла или готовиться на пару. А вот употреблять блюда лучше в протертом и теплом виде.
Горячие, холодные и цельные кусковые блюда противопоказаны при этом заболевании, так как они раздражают слизистые поджелудочной и усиливают выработку пищеварительных ферментов, что оказывает на нее дополнительную нагрузку и может привести к прогрессированию в ней патологических процессов.
Правильное питание благоприятно сказывается не только на работе поджелудочной железы, но и на функционировании всего организма
Мясные блюда (тефтели, котлеты, кнели и т.д.) не противопоказаны больным, но готовить их следует только из нежирных сортов мяса, например, курицы, телятины, крольчатины и т.д. То же самое касается и рыбных блюд. Однако основную часть рациона должны составлять овощи, а именно:
- тыква,
- картофель,
- кабачки,
- цветная капуста.
Также обязательным является употребление круп – гречки, овсянки, риса. В них содержится масса полезных веществ, которые требуются организму для нормального функционирования. Молочные и кисломолочные продукты (кефир, сметана, творог и т.д.) также должны находиться в ежедневном рационе больного, однако перед их употреблением следует внимательно смотреть жировой процент продукта. Он не должен превышать 2,5%.
Лечебный стол №5 весьма разнообразен. Он не заставляет человека голодать или испытывать постоянное ощущение голода. Как показывает практика, наиболее тяжелыми днями для пациентов являются первые 3-4 дня соблюдения диеты. Затем их организм привыкает к новому режиму и питанию, после чего никакого дискомфорта не испытывается.
Липоматоз поджелудочной железы – заболевание серьезное. И к его лечению следует подходить со всей ответственностью. Если пациент будет строго следовать правилам диетического питания, то наличие данной болезни никак не скажется на его общем самочувствии и качестве жизни. Но если же он будет и дальше питаться неправильно, то это станет причиной прогрессирования болезни и может привести к серьезным последствиям.
Вопрос-ответ
Чем опасен липоматоз поджелудочной железы?
Научные исследования доказали, что у людей с липоматозом поджелудочной железы повышается риск определенных болезней: рак поджелудочной железы. По некоторым данным, накопление жира в органе увеличивает вероятность развития злокачественной опухоли в 18 раз.
Сколько живут при липоматозе поджелудочной железы?
Главная опасность липоматоза поджелудочной железы заключается в отсутствии характерных проявлений на начальном этапе его развития. Бессимптомный период болезни длится достаточно долго. Человек может прожить полжизни, не догадываясь о том, что у него развивается ожирение поджелудочной железы.
Какой препарат убирает жир с поджелудочной железы?
Орлистат уменьшает всасывание жира в кишечнике путём подавления действия фермента поджелудочной железы — липазы. Первоначально он был доступен только по рецепту врача.
Можно ли вылечить липоматоз?
Современный подход к лечению липоматоза. Похудение тоже не избавляет от них, т. к. они находятся в капсуле без кровотока. Единственный способ избавиться от липом – хирургическое удаление.
Советы
СОВЕТ №1
Регулярно проходите медицинские обследования, особенно если у вас есть предрасположенность к заболеваниям поджелудочной железы. Это поможет выявить липоматоз на ранних стадиях и предотвратить возможные осложнения.
СОВЕТ №2
Обратите внимание на свой рацион питания. Употребление здоровой пищи, богатой клетчаткой, и ограничение жиров и сахаров могут помочь поддерживать здоровье поджелудочной железы и снизить риск развития липоматоза.
СОВЕТ №3
Поддерживайте активный образ жизни. Регулярные физические нагрузки способствуют улучшению обмена веществ и могут помочь в контроле веса, что важно для здоровья поджелудочной железы.
СОВЕТ №4
Избегайте злоупотребления алкоголем и курения, так как эти факторы могут усугубить состояние поджелудочной железы и способствовать развитию липоматоза. Здоровый образ жизни поможет сохранить функцию органа.





