В этой статье описано опухолевое заболевание гипофиза, его виды, причины возникновения, симптомы, лечение и осложнения.
Гипофиз — это важный эндокринный орган, который контролирует баланс гормонов во всем организме. Находится гипофиз в мозговом черепе в области туецкого седла. В наше время заболевание гипофиза, а именно новообразования (аденома), встречаются довольно часто.
Подробнее о том, что это гипофиз, читайте в аналогичной статье.
Чаще всего опухолевидные заболевания гипофиза формируются под влиянием его передней доли, и носят доброкачественный характер. Также довольно часто встречается перерождение аденомы гипофиза в злокачественное новообразование. Чаще заболеванию подвергаются женщины молодого возраста.
Виды аденомы гипофиза
- Гормонально активная:
- Соматотропинпродуцирующая: аденома соматотропная, соматотропинома;
- Пролактинсекретирующая: пролактиновая аденома, пролактинома;
- Аденокортикопинпродуцирующая: кортикотропная аденома, кортикотропинома;
- Тиротропинпродуцирующая: тиреотропная аденома, тиротропинома;
- Фоллтропинпродуциующая;
- Лютропинпродуцирующая;
- Гонадотропная аденома;
- Смешанная аденома
- Гормонально неактиваная (пассивная):
- Соматотрофные;
- Кортикотрофные;
- Гонадотрофные;
- Тиреотрофные;
- Лактотрофные;
- Нуль-клеточные;
- Онкоцитомы.
- В зависимости от размеров:
- Микроаденома (до 2 см в диаметре);
- Мактроаденома (более 2 см в диаметре);
- Пикоаденома (в виде пики, стороны которой не более 3 мм);
- Гигинская аденома (более 40 мм в диаметре).
- В зависимости от расположения и роста в турецком седле:
- Эндоселлярная (внутри);
- Эндосупраселярная (изнутри вверх);
- Эндоинфраселлярная (изнутри вниз);
- Эндолатероселлярная (в бок кавернозного синуса, подвисочную ямку и т.д);
- Антеселлярная (вперед в орбиту, решетчатый лабиринт);
- Ретроселлярная (назад под твердую оболочку).
- В зависимости от расположения:
- В турецком седле;
- Вне турецкого седла;
- В кавернозном синусе.
Также в нашей аналогичной статье мы рассматривали вопрос о синдроме пустого турецкого седла.
Врачи отмечают, что аденома гипофиза у женщин может проявляться разнообразной симптоматикой, что затрудняет диагностику на ранних стадиях. Основные признаки включают головные боли, нарушения зрения и изменения в менструальном цикле. Часто наблюдаются гормональные сбои, которые могут вызывать бесплодие или изменения в весе. Врачи подчеркивают, что аденома может приводить к гиперпродукции пролактина, что вызывает лактостаз и галакторею. Также важно учитывать, что у женщин могут возникать эмоциональные расстройства, связанные с гормональными изменениями. Ранняя диагностика и своевременное лечение аденомы гипофиза критически важны для предотвращения серьезных осложнений и улучшения качества жизни пациенток.

Причины возникновения
Главными причинами возникновения новообразования являются:
- низкая продуктивность периферических гормональных органов;
- повышенная секреция гипоталамуса.
Предрасполагающие факторы:
- Долговременный прием оральных контрацептивов;
- Генетические нарушения;
- Инфекционные заболевания, связанные с работой ЦНС (сифилис, энцефалит и другие);
- Внутричерепные повреждения (кровоизлияния, сотрясения, ушибы, сдавления и другие);
- Радиационное излучение;
- Аутоиммунные заболевания;
- Хронические или длительные воспалительные процессы;
- Заболевания органов эндокринной системы;
- Неоплазия;
- Отравления;
- Нарушения внутриутробного развития (для плода);
- Осложнение периода гестации (для матери).
Симптомы заболевания
Признаки нефункциональной аденомы гипофиза:
- Нарушение цветовосприятия, определения цвета и его оттенков;
- Нарушение остроты зрения;
- Нарушение периферического зрения;
- Головная боль в височной и лобной долях, глазницах, резистентная к анальгетикам;
- Тошнота;
- Обмороки;
- Ликворея из носа, заложенность носа;
- Может возникнуть преждевременное старение организма.
Читайте больше про лечение кисты гипофиза головного мозга здесь.
Аденома гипофиза — это доброкачественная опухоль, которая может значительно влиять на здоровье женщин. Многие пациентки отмечают разнообразные симптомы, которые могут варьироваться от головных болей до нарушений менструального цикла. Часто женщины жалуются на резкие изменения в настроении, усталость и снижение либидо. Также распространены проблемы с зрением, такие как двоение в глазах или сужение полей зрения, что связано с давлением опухоли на зрительные нервы.
Некоторые отмечают увеличение веса и появление акне, что может быть связано с гормональными изменениями. Важно помнить, что симптомы могут проявляться постепенно, и многие женщины не связывают их с аденомой. Поэтому при наличии подозрительных признаков стоит обратиться к врачу для диагностики и своевременного лечения. Раннее выявление заболевания может существенно улучшить качество жизни и предотвратить серьезные осложнения.

Признаки функциональной аденомы гипофиза
Во время прогрессирования роста аденомы, нарушается функция гипофиза и, как следствие, нарушается работа эндокринных органов и проявляется:
- Бесплодием (под влиянием сниженной функции гипофиза, снижается секреция половых органов);
- Гипотиреозом (проявляется нарушением аппетита, утомляемостью, рассредоточенностью, увеличением массы тела);
- Нарушение менструации (изменения в регулярности цикла, в количестве выделений и может дойти до аменореи);
- Недоразвитие половых органов (если возникла в дестком возрасте);
- Нарушение работы надпочечников (снижение секреции данной железы);
- Себорея;
- Гипергизсутизм;
- Снижение голоса;
- Гиперрост внутренних органов;
- Увелические языка и челюсти.
- Аноргазмия;
- Лабильность артериального давления;
- Нарушение мозговой деятельности;
- Снижение либидо;
- Увеличение кистей, стоп;
- Галакторея (при грудном вскармливании);
- Полиневропатии (парестезия, боли в конечностях, снижение чувствительности в конечностях);
- Гиперпигментация кожи;
- Психические расстройства;
- Гигантизм, акромегалия и т. д.;
- Нарушения работы других органов эндокринной системы.
В зависимости от видов опухоли, сочетание данных симптомов может быть разным.
Диагностика
- Определение гормонального фона (анализы крови, мочи);
- Консультация офтальмолога (для оценки остроты зрения, измерения поля зрения);
- Рентгенологические исследования (области головы, а именно турецкого седла);
- Электронная микроскопия;
- Биопсия;
- Иммуногистохимическое исследование;
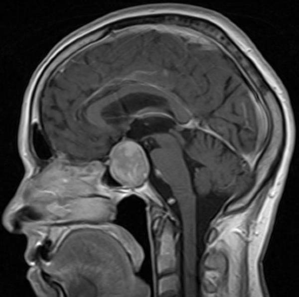
- Компьютерная томография;
- Магнитно-резонансная томография головного мозга.

Лечение аденомы гипофиза
- Медикаментозное лечение зависимо от видов и размеров опухоли.
Проводится симптоматическое лечение:
- анальгетики;
- седативные;
- антагонисты гормонов (октреотид, ланкреотид, гозерелин);
- агонисты дофамина (достинекс, бромокриптин, перголид, ропинирол).
Медикаментозное лечение применяют для всех опухолей. А для соматотропиномы возможно применение только медикаментов без оперативного лечения. Также применение препаратов возможно при вялотекущей аденоме.
- Оперативное:
- Транскраниальные вмешательства;
- Трансназальные эндоскопические вмешательства;
- Эндоскопический метод.
- Лучевая терапия:
- введение радиоактивного пучка в ткань аденомы;
- излучение из источника вне организма.
Операции
Самым излечимым методом является оперативное вмешательство. Именно удаление опухоли способствует скорому выздоровлению и предупреждению осложнений.
Трансназальное удаление возможно только при микроаденоме и при ее расположении в турецком седле или рядом. Операция проводится нейрохирургом, под общим наркозом. Удаление производится через носовую полость, разрезая верхнюю губу и надреза клиновидной кости. Удаляется опухоль полностью.
Это сложная операция, последствиями которой могут быть:
- инфекционные заболевания;
- нарушение носового дыхания;
- гормональные нарушения.
Транскраниальное удаление новообразования возможно при больших размерах или когда опухоль находится за пределами турецкого седла и прорастании опухоли в соседние ткани.
Для выполнения данной операции производят трепанацию черепа. Подробнее о последствиях после операции трепанация черепа читайте в другой статье.
Чаще, удаляют опухоль не полностью. А только часть ее, для нормализации зрительной функции и снижения внутричерепной гипертензии. После операции проводят лучевое лечение.
Самый безопасным является метод эндоскопического вмешательства. При этом не повреждается полость носа и понижается риск повреждения, так как видимость операции значительно увеличивается с помощью видеокамер. Восстановительный послеоперационный период может длиться около четырех дней. Успешность операции составляет почти 100 %.
Последствия операций
Риск возникновения последствий в послеоперационном периоде зависит от хирургической манипуляции:
- при транссназальном методе осложнения возникают в 13%, а операционная смертность составляет 3%;
- при транскраниальном доступе – 27.9% и летальные случаи — 7%.
Осложнения послеоперационного периода:
- рецидив опухоли – развивается в 15 – 16%;
- дисфункция коры надпочечников;
- потеря зрения;
- дисфункция щитовидной железы;
- гипопитуитаризм – частичная или полная недостаточность гипофиза;
- нарушения речи;
- нарушение памяти, внимания;
- инфекционное воспаление;
- кровотечение из сосудов гипофиза после операции.
Осложнения:
- Нарушение зрения до слепоты;
- Нарушение мозгового гемостаза;
- Ликворея;
- Инфицирование;
- Малигнизация;
- Инвалидизация;
- Апоплексия гипофиза;
- Бесплодие.
Прогноз
Благоприятный прогноз возможет после оперативного лечения без осложнений. При медикаментозном, хирургическом и лучевом лечении возможен период длительной ремиссии. Инвалидность определенной группы зависит от формы и размера опухоли, от осложнений и последствий операции.
Прислушивайтесь к своему организму, проходите профилактические осмотры, ведите здоровый образ жизни, и организм женщины не подвергнется такому опасному заболеванию или избавится от оперативного лечения при своевременном выявлении аденомы. Также лечение сопутствующих заболеваний ведет к снижению риска заболеваемости не только аденомой, но и другими недугами.
Вопрос-ответ
Какие симптомы аденомы гипофиза у женщин?
Симптомы аденомы гипофиза у женщин могут включать головные боли, нарушения зрения, изменения менструального цикла, бесплодие, а также симптомы, связанные с избыточной продукцией гормонов, такие как галакторея (выделение молока), акромегалия (увеличение частей тела) или синдром Кушинга (избыточная продукция кортизола). Важно обратиться к врачу для диагностики и лечения.
Как себя чувствует человек при аденоме гипофиза?
Если аденома вырабатывает тиреотропин, развивается гипертиреоз. Пациент жалуется на учащенное сердцебиение, у него снижена масса тела, чрезмерная потливость. Гонадотропных гормонов. В основном возникают неспецифичные симптомы, такие как головная боль, галакторея.
Каковы симптомы аденомы гипофиза головного мозга?
Описание заболевания: аденома гипофиза — доброкачественная опухоль, которая характеризуется бесконтрольным ростом клеточных элементов гипофиза. По мере роста аденомы происходит сдавление соседних структур, что приводит к развитию зрительных нарушений и гидроцефалии.
Какие симптомы при опухоли гипофиза?
Гипофиз сдавливается опухолью и нарушается продукция гормонов. Типичные симптомы – это снижение трудоспособности, утомляемость, сонливость, импотенция и снижение либидо. Недиагностированные и нелеченные опухоли могут привести к коме или летальному исходу.
Советы
СОВЕТ №1
Обратите внимание на изменения в вашем организме. Если вы заметили такие симптомы, как головные боли, изменения в менструальном цикле или проблемы с зрением, не откладывайте визит к врачу. Раннее выявление аденомы гипофиза может значительно улучшить прогноз лечения.
СОВЕТ №2
Регулярно проходите медицинские обследования, особенно если у вас есть предрасположенность к заболеваниям эндокринной системы. Это поможет выявить возможные проблемы на ранних стадиях и начать лечение вовремя.
СОВЕТ №3
Обсуждайте свои симптомы с врачом. Не стесняйтесь задавать вопросы и делиться своими переживаниями. Чем больше информации у врача, тем точнее будет диагноз и эффективнее лечение.
СОВЕТ №4
Изучите информацию о аденоме гипофиза и ее лечении. Знание о заболевании поможет вам лучше понимать процесс лечения и принимать активное участие в своем выздоровлении. Не забывайте консультироваться с квалифицированными специалистами.



 


 
 
 
							
							
						 
							 
 
 
