Большинство людей считают разрастание носоглоточной миндалины только детской проблемой. Но в последние годы все чаще стали выявлять аденоиды у взрослых. Это связано с улучшением диагностического оборудования, которое позволяет детально осмотреть носоглотку и выдать заключение о наличии и гипертрофии носоглоточной миндалины. Ответим подробнее на несколько самых распространённых вопросов об этой болезни у взрослых людей.
1. Почему эту проблему начали активно выявлять только в последнее время?

Носоглоточная миндалина находится глубоко в задних отделах носа. У детей ее гипертрофию доктор мог оценить на ощупь. Т.е. пальцевым методом, когда врач через рот пальцами ощупывал аденоиды и определял их размеры и консистенцию.
У взрослого человека место, где располагаются аденоиды, менее доступно для осмотра такими методами. Поэтому долгое время эта проблема оставалась не достаточно изученной у взрослых и считалось, что после периода полового созревания они просто пропадают сами собой.
С развитием эндоскопических методов исследований появилась возможность детально и безболезненно осмотреть задние отделы носа. Тогда и стало понятно, что аденоиды в носу встречаются и у взрослых людей. Примерно каждый пятый случай заложенности носа связан с гипертрофией носоглоточной миндалины.
Врачи часто сталкиваются с вопросами о аденоидах у взрослых, так как это состояние, хотя и менее распространено, чем у детей, все же вызывает беспокойство. Один из самых популярных вопросов касается симптомов: многие пациенты интересуются, как распознать увеличение аденоидов. Врачи объясняют, что это может проявляться в затрудненном дыхании, хриплом голосе и частых инфекциях верхних дыхательных путей. Другой распространенный вопрос касается методов диагностики. Специалисты подчеркивают важность эндоскопического обследования для точного определения состояния аденоидов. Также пациенты часто спрашивают о лечении: врачи рекомендуют консервативные методы, такие как медикаментозная терапия, но в некоторых случаях может потребоваться хирургическое вмешательство. Не менее актуален вопрос о последствиях запущенных аденоидов, так как они могут привести к хроническим заболеваниям. Наконец, многие интересуются, можно ли предотвратить увеличение аденоидов. Врачи советуют вести здоровый образ жизни, укреплять иммунитет и избегать аллергенов.

2. Какие симптомы могут указывать на наличие патологии?
Симптомы разрастания аденоидов в зрелом возрасте, несколько отличаются от детских. Скелет взрослого человека уже сформирован, поэтому они не могут оказать влияние на строение лицевых костей и груди, как, например, у детей. Чаще всего патология проявляется следующим образом:
- Заложенность носа и нарушение обоняния.
- Храп и шумное носовой дыхание.
- Изменение тембра голоса и появление гнусавости.
- Частые болезни уха и снижение слуха.
- Регулярные синуситы и другие болезни респираторного тракта.
- Кашель из-за раздражения слизистой глотки слизью от аденоидов.
Комбинации клинических проявлений могут быть очень разнообразны. Некоторых пациентов не беспокоит ничего кроме беспричинных головных болей, а на плановом осмотре выявляют значительное разрастание носоглоточной миндалины.
Важно! Воспаление аденоидов называется аденоидит. Для него характерны: повышение температуры, боль в носу и зеленые выделения, которые выходят через нос или через рот. Эту болезнь нередко путают с синуситом, поскольку о воспалении аденоидов у взрослого думают в последнюю очередь.
3. В чем опасность разрастания глоточной миндалины для взрослого человека?

Особенно тяжело увеличение аденоидов переносят пациенты с аллергией и бронхиальной астмой. В связи с этим при появлении неприятных симптомов нужно обязательно пройти обследование у лора, чтобы выявить источник проблемы.
Аденоиды у взрослых — тема, вызывающая множество вопросов и обсуждений. Многие интересуются, каковы симптомы увеличенных аденоидов. Люди отмечают, что это может проявляться в постоянной заложенности носа, хриплом голосе и даже проблемах со сном. Другой популярный вопрос касается причин их увеличения. Многие считают, что это связано с хроническими инфекциями или аллергиями. Также часто обсуждают, как аденоиды влияют на общее здоровье. Некоторые утверждают, что они могут способствовать развитию других заболеваний, таких как синусит или бронхит. Не менее важным является вопрос о лечении: многие предпочитают консервативные методы, но есть и те, кто считает, что операция — единственный эффективный способ. Наконец, люди интересуются, как предотвратить проблемы с аденоидами в будущем, и делятся советами по укреплению иммунной системы и поддержанию здоровья носоглотки.

4. Как диагностируют патологию?
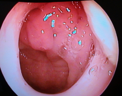
На приёме специалист осматривает нос и глотку с помощью специальных зеркал, что позволяет ему выявить наличие проблемы. Золотым стандартом диагностики считается эндоскопия.
Её выполняют после предварительного местного обезболивания. В нос пациенту вводится гибкий эндоскоп, который позволяет доктору рассмотреть и зафиксировать наличие аденоидов, степень их разрастания и консистенцию, состояние слуховых труб и другие нюансы.
Важно! В области заднего свода носоглотки могут находиться не только аденоиды, но и другие новообразования (кисты, опухоли), которые могут мешать точной диагностике. В сложных случаях проводят биопсию (берут кусочек ткани для оценки под микроскопом). Только после этого ставят диагноз и назначают лечение.
5. Какое лечение может предложить современная медицина?
Во взрослом возрасте чаще выбирают хирургическое лечение, потому что шансов что носоглоточная миндалина уменьшится самостоятельно практически нет. Если оперативное лечение противопоказано по каким-то причинам, то проводят поддерживающую консервативную терапию:
- гормональные капли в нос;
- гомеопатические препараты на основе лекарственных трав для улучшения состояния миндалины (Синупрет, Циннабсин и др.);
- физиолечение: магнит, лазеротерапия, УВЧ и ингаляции;
- промывания и орошения носа солевыми растворами;
- антибиотики только при воспалительном процессе.
В большинстве случае же лечение оперативное. Удалить аденоиды можно разными методами. Операцию проводят как под общим наркозом, так и под местной анестезией. Удаляют миндалины под контролем эндоскопа, если клиника оснащена этим оборудованием.
Сам процесс удаления носоглоточной миндалины может быть выполнен специальным ножом, лазером, криодеструктором, коблатором или шейвером (инструмент с микролезвиями). Лечение и выбор анестезии осуществляет лечащий доктор с учетом всех данных обследования и анамнеза.
Аденоиды у взрослого человека – это не новая проблема. Некоторые дети перерастают их, а у других они остаются и дают знать о себе на протяжении всей жизни. Если у человека есть сомнения и непонятные симптомы нужно посетить специалиста и выяснить, что происходит в организме.

Вопрос-ответ
Насколько распространена аденоидэктомия у взрослых?
Операция реже проводится у взрослых, у которых аденоид гораздо меньше и менее активен, чем у детей. Чаще всего она проводится амбулаторно под общим наркозом. Послеоперационная боль обычно минимальна и уменьшается при употреблении ледяной или холодной пищи.
Чем опасны аденоиды у взрослых?
В отсутствие лечения аденоиды у взрослых способны приводить к множеству неприятных последствий: ротовое дыхание – причина частых заболеваний дыхательных путей (тонзиллитов, фарингитов, бронхитов, трахеитов и др.), заболеваний носоглотки (хронический ринит), уха (отитов).
Какие инфекции вызывают аденоиды?
Патологическое разрастание ткани глоточной миндалины обычно проявляется после перенесенных вирусных (грипп, парагрипп, аденовирусы, коронавирусы, вирус простого герпеса) и бактериальных заболеваний, в том числе детских инфекций (скарлатины, дифтерии, кори, ангины и др.), внутриклеточных инфекций, грибков.
Советы
СОВЕТ №1
Проконсультируйтесь с врачом-отоларингологом, если у вас есть подозрения на проблемы с аденоидами. Специалист сможет провести необходимые обследования и предложить оптимальное лечение.
СОВЕТ №2
Обратите внимание на симптомы, такие как затрудненное дыхание, частые инфекции верхних дыхательных путей или храп. Эти признаки могут указывать на необходимость обращения к врачу.
СОВЕТ №3
Изучите информацию о возможных методах лечения аденоидов, включая консервативные и хирургические подходы. Это поможет вам лучше понять, какие варианты могут быть подходящими в вашем случае.
СОВЕТ №4
Не игнорируйте профилактические меры, такие как укрепление иммунной системы и поддержание здорового образа жизни. Это может помочь снизить риск обострения проблем с аденоидами.
